Médico Ginecologista Obstetra

CRM - BA 28426  | RQE 26732 | QRE 28982

Medicina Fetal • Tratamento de Endometriose

• Cirurgia Ginecológica Minimamente Invasiva

Consulta On-line Agendar Via WhatsApp
Agende sua consulta na Medclínica
Barra - BA
Livro Gestando A Mente Comprar pelo Mercado Livre
Livro PDF Gestando A Mente Comprar pelo Whatsapp
Ebook Laqueadura Consciente Comprar pela Kiwify
Livro PDF O Guia Final do Hipnoparto Comprar pelo WhatsApp
Ebook Cesárea Consciente Comprar pelo Kiwify

Nossos Serviços

Oferecemos exames, procedimentos ginecológicos e cirurgias com segurança, precisão e acompanhamento especializado.

Exames de Ultrassonografia

  • Ultrassom Obstétrico

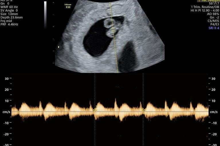
    Acompanhamento completo da gestação com exames de alto e baixo risco, incluindo ultrassom obstétrico simples, com Doppler, Doppler com perfil biofísico fetal (PBF) e ultrassom morfológico do 1º, 2º e 3º trimestre.

  • Ultrassonografias Gerais

    Realizamos diversos exames como ultrassom transvaginal, de mama, tireoide, abdômen total, rins e vias urinárias, próstata abdominal, partes moles, parede abdominal e cervical.

  • Ultrassom Vascular

    Ultrassonografia venosa de membros inferiores para avaliação da circulação, investigação de varizes e prevenção de trombose.

Procedimentos

  • Procedimentos Diagnósticos

    Realizamos biópsia de mama, biópsia de tireoide, biópsia de colo do útero, colposcopia, preventivo e vulvoscopia para diagnóstico precoce e acompanhamento ginecológico.

  • Planejamento Reprodutivo

    Aplicação e retirada de DIU e Implanon, com acompanhamento médico e orientação adequada para cada paciente.

Cirurgias Ginecológicas

  • Cirurgias Ginecológicas Especializadas

    Realizamos procedimentos como histerectomia, ooforectomia, salpingectomia, miomectomia, cirurgia de endometriose e histeroscopia diagnóstica e cirúrgica.

  • Cirurgias Íntimas e Reconstrutivas

    Inclui colpoperineoplastia (suspensão da bexiga), perineoplastia (plástica vaginal) e ninfoplastia, visando saúde, funcionalidade e bem-estar feminino.

Mandar para um Amigo
Feito com ❤ Vipplink © 2026
Mandar para um Amigo